So I wake up today and it's been one year since the bomb was dropped......usually I do this blogging at the end of my day but today I'm getting it out of my way.
So it's been a year since my life and my family's has been turned on it's head. I think it's changed us all in some way, some of us have become closer, some more understanding of one another, whilst some of us still don't grasp how important family is.......but that's another whinge!!
So one year ago I went to bed with J and X snoring on the couch, normal. To be woken in the early hours by a frantic J, telling me to stay still (on the floor) and an ambulance was coming.....what the?! I needed to pee, but he was like no stay still, NO i needed to pee......
He looked really quite terrified, I hope I never see him like that again. I came back in and sat on the bed and then I started to freak out as I had NO idea what was going on, and he was telling me I had a fit. I started to freak out a little then as I knew nothing!! Anyhow the ambulance came and John told them what had happened and they bundled me up and took me away, they did ask if I had wet myself! NO NO phew as I would of been embarrassed!! So they bundled me off on my first ambulance ride and J was going to follow with X......
On the way the paramedic was lovely, asking what I remembered etc it was then in the ambulance I remembered being in bed and "the fit" it was scary and I was trying to call out to J but my voice would not work and I was trying to move but my body was doing it's own crazy dance.......and then that's all I remember.....
My elbow that I had a pin put in at Christmas time was ACHING!!
The paramedic asked a few other questions, and then I remembered my weekend two weeks previous........my good friends fathers 50th where I, in usual booze hag mode, had annihilated myself with his encouragement of getting us all to do shots!! We were all a mess!! I broke my dress, a mosquito lamp and possibly my nose!! I had fallen FLAT on my face in the dark! How much simpler life would be if the seizure had just been from that!!!
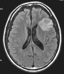
It never crossed my mind it could be something more sinister, was thinking maybe hemorrhage from the drunken antics or epilepsy.........did not think the lovely little English Dr would come in and say they had found a substantial "lesion" on my brain......what the heck is a bloody brain lesion?! So in that moment our lives changed.......
I was shifted to a ward, this was shit, surely a bad dream.
Then they sent off my scans to the "neuro gods" at RBH where they looked at them.......and it was then they decided it was a low grade benign tumour, with it's clear lines blah blah blah, we know how that story ended!! But this was the beginning.......
So we thought, ok this is bad but it could be WORSE!
I was then shifted in to RBH, another ambulance ride!! Where I went through MORE MRI's and tests, and told AGAIN and AGAIN how it was a low grade benign tumour and should be fine after surgery........
SO I was trapped in hospital, BORED!!! Thank god for angry birds on the iPhone! Mum drove in everyday!! Big effort in the dodgy frustrating Brisbane traffic!! I had two of my friends make trips from hours away to see me, true friends.
So here I sat being prodded and poked and dosed with anti seizure pills and steroids for a week waiting for them to decide when to operate........I did get released for one of my best friends weddings the day before surgery!! (that's what you get when you suck up the nurses bums!!) Though I did need to attend with these funky stickers on my head that were required for surgery in the morning, so needed to wear a scarf! Story to those photos.
So on the Monday morning I was up early, and hooked up to the stupid drip and the wait began..........wheeled off to surgery, checked on by the good hot Dr, made me feel good knowing he would see me, passed out, head cracked opened!! Was NOT impressed I needed a catheter, I told them to just put a bucket under me.......apparently this is not in hospital guidelines! And then I was out........
Waking up was BAD I felt like I was going to spew, so they injected me, I was hot, I was sore, I couldn't TALK!! (Freaked me out as the tumour was near my speech centre and at the time this was the biggest worry)..........never again I thought!
They eventually took me to ICU, another place you don't want to be!! I was sweating and sore and uncomfortable. My head was all bandaged up and I had a drain coming out of it, my blood handbag. They eventually let J and S (basically my sister) in to see me, not sure I made any sense to them but it was good to see their friendly faces. So in ICU I stayed for the night, hot and monitored all night, not sleep.......never again I thought!!
The nurse the next day was an angel!! Because she took the catheter out even though the Dr wanted in left in! And then she let me shower!! My god I looked a site, with my head gear and blood handbag!
Things they could of told me though; you will have a sore head (not from cracking it open) from where we are going to CLAMP your head down so you can't move,and you are going to have an incredibly sore back! As we are going to divert all of the fluids that usually go up your spine and they will settle on the base of your spine. Thanks for the heads up. NOT.
So I survived!! And they told me how it was "textbook" and couldn't of gone better..........we all know how that ends but that's for another day.
I managed to con the nurses, again, into letting me out for Easter!! Oh how I wish I didn't need to go back for the news they wanted to tell me.
So here I sit, one year on, still alive, still fighting. Reminding myself how WRONG they were once and will be again.
One year on since my life changed, maybe it's been for the better? It surely is a gift in the shittiest wrapping paper this cancer, it's made me try harder to love, harder to forgive, harder to achieve, harder to appreciate, harder to live.
So thanks for everyone who got thrown into the passenger seat of the crazy cancer train with me!! Your tickets are non refundable as you're stuck with me!! And next year at the 2 year mark I'm sure there will be bigger and better stories........and to cancer I say bite me.
The only thing better than sleep is knowing you're going to wake up

So it's been a year since my life and my family's has been turned on it's head. I think it's changed us all in some way, some of us have become closer, some more understanding of one another, whilst some of us still don't grasp how important family is.......but that's another whinge!!
So one year ago I went to bed with J and X snoring on the couch, normal. To be woken in the early hours by a frantic J, telling me to stay still (on the floor) and an ambulance was coming.....what the?! I needed to pee, but he was like no stay still, NO i needed to pee......
He looked really quite terrified, I hope I never see him like that again. I came back in and sat on the bed and then I started to freak out as I had NO idea what was going on, and he was telling me I had a fit. I started to freak out a little then as I knew nothing!! Anyhow the ambulance came and John told them what had happened and they bundled me up and took me away, they did ask if I had wet myself! NO NO phew as I would of been embarrassed!! So they bundled me off on my first ambulance ride and J was going to follow with X......
On the way the paramedic was lovely, asking what I remembered etc it was then in the ambulance I remembered being in bed and "the fit" it was scary and I was trying to call out to J but my voice would not work and I was trying to move but my body was doing it's own crazy dance.......and then that's all I remember.....
My elbow that I had a pin put in at Christmas time was ACHING!!
The paramedic asked a few other questions, and then I remembered my weekend two weeks previous........my good friends fathers 50th where I, in usual booze hag mode, had annihilated myself with his encouragement of getting us all to do shots!! We were all a mess!! I broke my dress, a mosquito lamp and possibly my nose!! I had fallen FLAT on my face in the dark! How much simpler life would be if the seizure had just been from that!!!
It never crossed my mind it could be something more sinister, was thinking maybe hemorrhage from the drunken antics or epilepsy.........did not think the lovely little English Dr would come in and say they had found a substantial "lesion" on my brain......what the heck is a bloody brain lesion?! So in that moment our lives changed.......
I was shifted to a ward, this was shit, surely a bad dream.
Then they sent off my scans to the "neuro gods" at RBH where they looked at them.......and it was then they decided it was a low grade benign tumour, with it's clear lines blah blah blah, we know how that story ended!! But this was the beginning.......
So we thought, ok this is bad but it could be WORSE!
I was then shifted in to RBH, another ambulance ride!! Where I went through MORE MRI's and tests, and told AGAIN and AGAIN how it was a low grade benign tumour and should be fine after surgery........
SO I was trapped in hospital, BORED!!! Thank god for angry birds on the iPhone! Mum drove in everyday!! Big effort in the dodgy frustrating Brisbane traffic!! I had two of my friends make trips from hours away to see me, true friends.
So here I sat being prodded and poked and dosed with anti seizure pills and steroids for a week waiting for them to decide when to operate........I did get released for one of my best friends weddings the day before surgery!! (that's what you get when you suck up the nurses bums!!) Though I did need to attend with these funky stickers on my head that were required for surgery in the morning, so needed to wear a scarf! Story to those photos.
So on the Monday morning I was up early, and hooked up to the stupid drip and the wait began..........wheeled off to surgery, checked on by the good hot Dr, made me feel good knowing he would see me, passed out, head cracked opened!! Was NOT impressed I needed a catheter, I told them to just put a bucket under me.......apparently this is not in hospital guidelines! And then I was out........
Waking up was BAD I felt like I was going to spew, so they injected me, I was hot, I was sore, I couldn't TALK!! (Freaked me out as the tumour was near my speech centre and at the time this was the biggest worry)..........never again I thought!
They eventually took me to ICU, another place you don't want to be!! I was sweating and sore and uncomfortable. My head was all bandaged up and I had a drain coming out of it, my blood handbag. They eventually let J and S (basically my sister) in to see me, not sure I made any sense to them but it was good to see their friendly faces. So in ICU I stayed for the night, hot and monitored all night, not sleep.......never again I thought!!
The nurse the next day was an angel!! Because she took the catheter out even though the Dr wanted in left in! And then she let me shower!! My god I looked a site, with my head gear and blood handbag!
Things they could of told me though; you will have a sore head (not from cracking it open) from where we are going to CLAMP your head down so you can't move,and you are going to have an incredibly sore back! As we are going to divert all of the fluids that usually go up your spine and they will settle on the base of your spine. Thanks for the heads up. NOT.
So I survived!! And they told me how it was "textbook" and couldn't of gone better..........we all know how that ends but that's for another day.
I managed to con the nurses, again, into letting me out for Easter!! Oh how I wish I didn't need to go back for the news they wanted to tell me.
So here I sit, one year on, still alive, still fighting. Reminding myself how WRONG they were once and will be again.
One year on since my life changed, maybe it's been for the better? It surely is a gift in the shittiest wrapping paper this cancer, it's made me try harder to love, harder to forgive, harder to achieve, harder to appreciate, harder to live.
So thanks for everyone who got thrown into the passenger seat of the crazy cancer train with me!! Your tickets are non refundable as you're stuck with me!! And next year at the 2 year mark I'm sure there will be bigger and better stories........and to cancer I say bite me.
The only thing better than sleep is knowing you're going to wake up
2 comments:
Thanks for sharing that story Marg, at the risk of sounding like a morbid weirdo I found it really interesting. Teared me up that it really actually happened to you, but I'm looking forward to next years installment when I get to smile with you (and about a hundred other people!) instead.
DITTO to what Caz said...Thanks for sharing....
Post a Comment